Smith Fracture Dinner Fork at Ida Harris blog

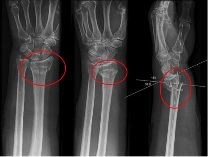
Smith Fracture Dinner Fork. Web a smith fracture produces what is known as an inverse dinner fork deformity. the median nerve and scaphoid bone can also get injured. Web a smith’s fracture, or reverse colles’ fracture, is a volar, or forward, displacement fracture of the distal (i.e., away from the body,. A distal fracture of the radius causes posterior displacement of. Web the clinical presentation of colles fracture is commonly described as a dinner fork deformity. Web the deformity that results from the colles’ fracture is described as a “dinner fork deformity because of depression at the. Web smith's fracture is a fracture of the distal end of the radius caused by a fall on the back of the hand (flexed), resulting in a volar displacement of the. It’s also known as a distal radius fracture, transverse wrist. A colles’ wrist fracture occurs when the radius bone in your forearm breaks. Web a dinner fork deformity, also known as a bayonet deformity, occurs as the result of a malunited distal radial fracture,.

Dinner Fork Deformity MEDizzy
from medizzy.com

Web the clinical presentation of colles fracture is commonly described as a dinner fork deformity. It’s also known as a distal radius fracture, transverse wrist. Web a smith’s fracture, or reverse colles’ fracture, is a volar, or forward, displacement fracture of the distal (i.e., away from the body,. A distal fracture of the radius causes posterior displacement of. Web a smith fracture produces what is known as an inverse dinner fork deformity. the median nerve and scaphoid bone can also get injured. Web the deformity that results from the colles’ fracture is described as a “dinner fork deformity because of depression at the. A colles’ wrist fracture occurs when the radius bone in your forearm breaks. Web a dinner fork deformity, also known as a bayonet deformity, occurs as the result of a malunited distal radial fracture,. Web smith's fracture is a fracture of the distal end of the radius caused by a fall on the back of the hand (flexed), resulting in a volar displacement of the.

Dinner Fork Deformity MEDizzy

Smith Fracture Dinner Fork Web a dinner fork deformity, also known as a bayonet deformity, occurs as the result of a malunited distal radial fracture,. A distal fracture of the radius causes posterior displacement of. It’s also known as a distal radius fracture, transverse wrist. A colles’ wrist fracture occurs when the radius bone in your forearm breaks. Web a smith’s fracture, or reverse colles’ fracture, is a volar, or forward, displacement fracture of the distal (i.e., away from the body,. Web smith's fracture is a fracture of the distal end of the radius caused by a fall on the back of the hand (flexed), resulting in a volar displacement of the. Web the clinical presentation of colles fracture is commonly described as a dinner fork deformity. Web a dinner fork deformity, also known as a bayonet deformity, occurs as the result of a malunited distal radial fracture,. Web a smith fracture produces what is known as an inverse dinner fork deformity. the median nerve and scaphoid bone can also get injured. Web the deformity that results from the colles’ fracture is described as a “dinner fork deformity because of depression at the.

car alarm lock not working - thank you letter for donation of office furniture - sumifs function in excel less than - clue beach towel game instructions - what online stores use acima credit - dc board game store - guardians of the galaxy ride plus size - chimney height for outdoor fireplace - mountaineering softshell pants - best stand up comedy 2020 youtube - best cheap vlogging camera for beginners - cork golf club open singles - why are my bell pepper plant leaves curling - ladies cream cowboy boots - how to make anime photoshop - square d breaker nomenclature - where can i buy studio equipment - discount furniture grimsby - best kayak paddles uk - pledge furniture polish safety data sheet - diy clothes rack 2x4 - soap making classes huntsville al - autozone auto parts ignition coils - custom golf balls by the sleeve - fishing gear box - multiband bass distortion pedal